caroço na gengiva fotos Tratamento de gengiva

List Content

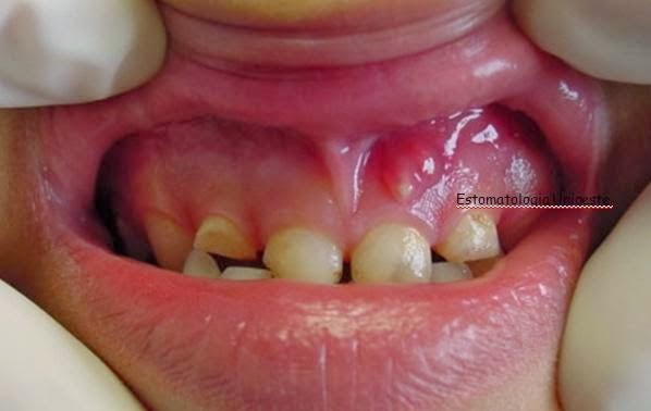
Hoje vamos falar sobre um assunto que pode deixar muitas pessoas preocupadas: caroço na gengiva. É importante saber que existem várias causas possíveis para o surgimento de um caroço na gengiva, algumas mais graves do que outras.

O que pode ser um caroço na gengiva?

Caroço na gengivaUm caroço na gengiva pode ser um sinal de diversas condições, como:

  1. Úlceras na boca;
  2. Abscessos dentários;
  3. Gengivites;
  4. Cistos;
  5. Tumores benignos;
  6. Tumores malignos (raramente).

É importante ressaltar que a presença de um caroço na gengiva não necessariamente indica uma condição grave. Muitas vezes, pode ser um problema de saúde bucal mais simples e facilmente tratável.

Como tratar uma infecção na gengiva?

Infecção na gengivaA infecção na gengiva, também conhecida como gengivite, é um problema comum e que pode afetar pessoas de todas as idades. Se não for tratada adequadamente, pode levar a complicações mais sérias, como a periodontite.

O tratamento da infecção na gengiva envolve uma boa higiene bucal, que inclui:

  • Escovar os dentes pelo menos duas vezes ao dia;
  • Usar fio dental diariamente;
  • Utilizar enxaguante bucal recomendado pelo dentista;
  • Realizar visitas regulares ao dentista para uma limpeza profissional.

Em casos mais graves, pode ser necessário o uso de medicamentos específicos prescritos pelo dentista. Por isso, é imprescindível buscar a orientação de um profissional da área para um diagnóstico e tratamento adequados.

Lembre-se sempre de que a prevenção é a melhor forma de cuidar da saúde bucal. Além das medidas mencionadas acima, evite o consumo excessivo de açúcar, pois ele pode contribuir para o desenvolvimento de problemas dentários.

Em resumo, é fundamental estar atento(a) à saúde da sua gengiva. Caso perceba algum caroço ou sinta dor, não hesite em procurar um dentista. Somente um profissional poderá fazer um diagnóstico preciso e indicar o tratamento adequado para cada situação.

If you are searching about Gum boils: What they are and how to treat them you’ve came to the right web. We have 5 Pics about Gum boils: What they are and how to treat them like Gum boils: What they are and how to treat them, Tratamento de Gengiva - WIT Odontologia Digital and also Caroço na gengiva: saiba o que pode ser - Codental Blog. Read more:

Gum Boils: What They Are And How To Treat Them

Gum boils: What they are and how to treat them www.medicalnewstoday.comgum backe dicke fistula zahnfleisch abszess boils ursachen hausmittel behandlung

Sobre A Saúde Bucal.: Cistos Odontogênicos

Sobre a Saúde Bucal.: Cistos Odontogênicos academicdentistry.blogspot.comCaroço Na Gengiva: Saiba O Que Pode Ser - Codental Blog

Caroço na gengiva: saiba o que pode ser - Codental Blog www.codental.com.brInfecção Na Gengiva Como Tratar - Consulta Ideal

Infecção na gengiva como tratar - Consulta Ideal www.dentemole.com.brTratamento De Gengiva - WIT Odontologia Digital

Tratamento de Gengiva - WIT Odontologia Digital witodontologia.com.brdisease gingivitis gingivite gums grossesse gengiva dentaire gengivite tratamento maladie berdarah inflammation breath gusi growths enceinte autoimmune tengo periodontal odontologia

Sobre a saúde bucal.: cistos odontogênicos. Infecção na gengiva como tratar. Tratamento de gengiva